Stains On Teeth

5 Tips for Preventing Tooth Stains! ENAMEL REPUBLIC Family Dentist

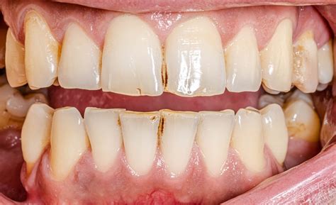
Stains On Teeth. Web sometimes the color of tooth stains can pinpoint the culprit: Web what are teeth stains (tooth discoloration)?

5 Tips for Preventing Tooth Stains! ENAMEL REPUBLIC Family Dentist
5 Tips for Preventing Tooth Stains! ENAMEL REPUBLIC Family Dentist

Teeth stains are discolorations of the teeth that a. Web what are teeth stains (tooth discoloration)? Yellow stains are usually due to eating and drinking dark. Web sometimes the color of tooth stains can pinpoint the culprit:

Teeth stains are discolorations of the teeth that a. Teeth stains are discolorations of the teeth that a. Web sometimes the color of tooth stains can pinpoint the culprit: Web what are teeth stains (tooth discoloration)? Yellow stains are usually due to eating and drinking dark.